-
02-12-2017, 02:42 PM #1
Senior Member
- Ngày tham gia
- Mar 2017
- Bài viết
- 134
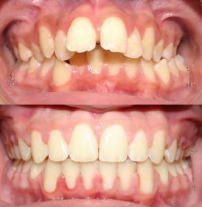
Cách chăm sóc răng miệng để giảm đau khi niềng răng hô
Chào bác sĩ! Hiện tại răng của tôi bị hô nhẹ vì thề mà tôi rất e ngại khi cười nói với mọi người. Và tìm hiểu và cũng được bạn bè khuyên tôi nên đi niềng răng hô để lấy lại hàm răng đẹp hơn, nhưng tôi nghe nói niềng răng hô rất đau. Bác sĩ tư vấn giúp tôi niềng răng có đau lắm không ? Chân thành cảm ơn bác sĩ! (Hồng Trang, Vũng Tàu).

Trả lời:
Chào bạn Hồng Trang! Cảm ơn bạn đã tin tưởng và gửi câu hỏi của mình về cho Phòng Khám Răng Hàm Mặt Sài Gòn. Về vấn đề bạn đang lo lắng niềng răng có đau lắm không của bạn chúng tôi xin được giải đáp như sau:
Niềng răng hô là phương pháp mà bác sĩ sẽ dùng những khí cụ như các mắc cài hoặc những khay niềng răng để điều chỉnh những răng bị hô về đúng vị trí trên cung hàm, giúp cải thiện thẩm mỹ và chức năng ăn nhai của hàm răng, đem lại cho bạn một hàm răng đều và đẹp hơn. Tuy nhiên vấn đề đau nhức khi niềng răng được khá nhiều người quan tâm.
Niềng răng có đau lắm không ?
Khi niềng răng, bác sĩ chỉnh nha sẽ thực hiện gắn những khí cụ niềng răng có thể là khí cụ mắc cài hay khay niềng răng không mắc cài lên răng nhằm tạo ra một lực kéo giúp các răng dịch chuyển từ từ về vị trí mong muốn. Lực kéo này rất nhẹ nhàng nên bạn sẽ không hề có cảm giác đau. Tuy nhiên, trong vài ngày đầu tiên bạn sẽ có cảm giác hơi khó chịu một chút vì có những vật lạ trong miệng làm bạn thấy vướng víu. Nhưng bạn có thể yên tâm là những ngày sau đó, khi đã quen dần với sự hiện diện của những mắc cài trong miệng thì cảm giác khó chịu sẽ biến mất.
Để giảm bớt hiện tượng khó chịu trong những ngày đầu tiên khi niềng răng, bạn có thể áp dụng những phương pháp đơn giản như vệ sinh răng miệng bằng nước súc miệng hoặc nước muối ấm. Bạn cũng có thể dùng thêm thuốc giảm đau do bác sĩ chỉ định dùng. Do đó, bạn không nên vì lý do niềng răng có đau không mà cản trợ việc nhanh chóng có được hàm răng đẹp hoàn thiện nhất nhé.

Cách hăm sóc răng miệng để giảm đau khi niềng răng hô
Để hạn chế đau cũng như đảm bảo quy trình niềng răng an toàn diễn ra thuận lợi hơn thì bạn một có thể áp dụng một số cách cụ thể để chăm sóc răng miệng nhau:
– Sau khi niềng răng, nên hạn chế dùng thực phẩm cứng, dai, dẻo. Nên ăn những thực phẩm mềm để hạn chế bị đau và tránh những ảnh hưởng đên khi cụ chỉnh nha
– Tránh những tác động mạnh vào hàm răng
– Tuân thủ những hướng dẫn và chỉ định của bác sĩ.
– Vệ sinh và chăm sóc răng miệng sạch sẽ đúng cách để ngăn ngừa những ảnh hưởng xấu và các bệnh lý về răng miệng cho hàm răng.
Vui lòng liên hệ Phòng Khám Răng Hàm Mặt Sài Gòn để biết thêm chi tiết
Hệ thống Phòng Khám Răng Hàm Mặt Sài Gòn
– Cơ sở 1: 1256 Võ Văn Kiệt, P.10, Q.5, TP.HCM
Điện thoại: (+84 28) 3856 7479 - 1900 7103
Email: info@benhvienranghammatsg.vn
– Cơ sở 2: Số 352 Trường Chinh, P.13, Q.Tân Bình, TP.HCM
Điện thoại: 028 6656 5648 - 1900 7103
Email: info@benhvienranghammatsg.vn
– Cơ sở 3: Số 400C, Lê Hồng Phong, P.1, Q.10, TP.HCM
Điện thoại: (028) 3938 1866 - 0964 850 437
Email: info@benhvienranghammatsg.vn
Nguồn bài viết: http://nhakhoaquanhoangmai.blogspot.com/View more random threads:
- Fun Factory Stronic G: Trải nghiệm ấn tượng hay chỉ là lời đồn?
- Bí quyết sung sướng – Khơi dậy nữ thần ái tình
- Thẩm mỹ mở rộng góc mắt mang lại đôi mắt long lanh lôi cuốn
- Túi Xách Phong Thư Nữ Da Cá Sấu TXPT-C giá : 3,500,000₫
- những điều bạn cần biết về bơm nước giếng khoan (Phần 1)
- Mẹo kiểm soát hay kích thích nhu cầu "chuyện ấy" ở phái đẹp
- Cặp Xách Đeo Chéo Cho Nam Da Cá Sấu CCS05-Đ giá chỉ 9tr900
- Khoảng 81 tỷ đồng dành cho dự án cải tạo tuyến đê hữu Đáy tuyến đường 421A
- Macbook air 2017 cũ - xứng đáng để rút hầu bao
- Bì giấy là 1 trong những sản phẩm như là sự đại diện thương hiệu
Các Chủ đề tương tự
-
Niềng răng không nhổ răng giải pháp cho hàm răng đều đẹp
Bởi loveseo trong diễn đàn Các tài nguyên khácTrả lời: 0Bài viết cuối: 30-11-2017, 03:21 PM -
Bí quyết tự chăm sóc lan hồ điệp sau tết
Bởi dailymaybom.vn trong diễn đàn Các tài nguyên khácTrả lời: 0Bài viết cuối: 08-11-2017, 03:20 PM -
Ở đâu có lớp học chăm sóc da tốt nhất HCM
Bởi team_vqh88 trong diễn đàn Chia sẻ kinh nghiệm - Hỏi/ĐápTrả lời: 0Bài viết cuối: 27-10-2017, 09:13 AM -
BlackBerry đầu tư vào công ty NantHealth để cung cấp giải pháp về chăm sóc sức khỏe
Bởi trong diễn đàn Tin tức BlackBerryTrả lời: 8Bài viết cuối: 19-04-2014, 01:18 AM


Trả lời kèm Trích dẫn
Có những đêm, chỉ cần một ánh nhìn, một cái chạm nhẹ… là đủ để ngọn lửa trong anh bừng cháy. Nhưng khi ham ấy được dẫn dắt bằng đô chơi tinh duc nam , mọi thứ vượt khỏi giới hạn thường ngày – trở nên...
Khi cảm xúc lên ngôi – thiết bị...